顎関節症治療
顎関節症の治療についてAbout Treatment of Temporomandibular Joint Disorder

- 朝起きた時にアゴがだるい
- 大きく口を開けたら閉じなくなった
- アゴの関節でカクカク音がなったり、痛くなる
などの症状が以前にあった方や現在もあるということはありませんか?
このような症状の場合は、アゴの関節の関節円板というものにズレが生じている可能性が高いです。
長くそのままにしておくと、関節の骨が変形したり、位置がずれたりして、咬み合わせに変化が生じたり、顔のゆがみを引き起こしたり、肩こりや頭痛に悩まされたりする場合があります。

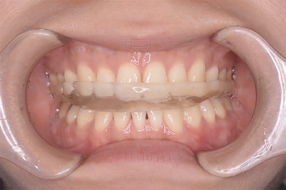
当院では、このような顎関節症に対して「歯の模型の作製」や「CT撮影」などの詳しい検査を行った後にスプリント治療を行っています。
さらに、矯正歯科治療においても、このアゴの問題、すなわち顎関節の問題は咬み合わせや歯並びを良くしていくために非常に関係しています。
矯正歯科治療を始める前に、顎関節に問題がないかどうかを確認して、必要な場合には顎関節症の治療を行ってから矯正歯科治療を始めていきます。
顎関節症の治療については、保険診療となる場合がありますので、お気軽にご相談ください。



